°C -
|

La Jornada

Últimas noticias
Anuncio
Anuncio
Autor Eirinet Gómez

Herbario Nacional es crucial para estudios sobre biodiversidad y cambio climático

Martes 2 de diciembre 2025 a las 7:40
Es el más grande de Latinoamérica y en las últimas cinco décadas el de mayor crecimiento en el mundo.

'La noche de las estrellas' “busca abrir las puertas de la ciencia y la astronomía al público mexicano”

Miércoles 26 de noviembre 2025 a las 8:36
El acto se realizará el 29 de noviembre en más de 118 sedes del país y 2 en Guatemala. “El conocimiento es un faro de paz hacia el futuro”: José Franco

Científico reivindica las funciones ecológicas de gusanos y sanguijuelas

Martes 25 de noviembre 2025 a las 8:20
En la Colección Nacional de Helmintos, que alberga 80 mil 400 ejemplares de gusanos parásitos, no sólo se documenta la biodiversidad de estas especies, sino que es clave para realizar investigaciones que ayudan entender y controlar enfermedades en humanos.

Periodismo de ciencia está en deuda con saberes indígenas y comunitarios: Aleida Rueda

Jueves 20 de noviembre 2025 a las 18:06
En conferencia de prensa se anunció la realización del Octavo Foro Hispanoamericano de Periodismo Científico Historias+allá del laboratorio,

La teoría evolutiva, importante para captar naturaleza de la ciencia y de la sociedad

Jueves 20 de noviembre 2025 a las 7:53
Se trabaja en propuesta para que el tema se profundice en la educación básica.

Evolución del ser humano está ausente de la educación básica de México: experto

Miércoles 19 de noviembre 2025 a las 10:29
Es uno de los mayores desafíos que se enfrenta. Se realiza el Primer Congreso Mexicano de Evolución: Ciencia y Comunidad en Biología Evolutiva, en la UNAM.

La sanguijuela, una aliada inesperada para entender nuestro cerebro

Martes 11 de noviembre 2025 a las 12:16
Sus neuronas, que comparten con las nuestras mecanismos y genes similares, permiten observar en vivo cómo se libera la serotonina.

Bacteria hallada en sanguijuela endémica de México aporta molécula antibacteriana

Martes 11 de noviembre 2025 a las 12:04
Es capaz de inhibir el crecimiento de un microorganismo patógeno muy común en infecciones hospitalarias.

“Las sanguijuelas son aliadas de la medicina, pero en México no se usan por prejuicios”: cirujano

Martes 11 de noviembre 2025 a las 8:04
Esos organismos se emplean con eficacia en EU, España, Turquía y GB. Luis Rodrigo Reynoso habla en entrevista acerca de trasplantes e injertos en que los utilizaron con éxito.

Se necesitan líneas éticas claras para crear un museo del cerebro: biólogas de la UNAM

Miércoles 29 de octubre 2025 a las 8:12
Es primordial contar con el consentimiento informado de los donantes, señaló Medina Arellano, doctora en Bioética y Jurisprudencia Médica por la Universidad de Manchester en Reino Unido.

La postura del FCE es combatir toda forma de discriminación de lo femenino: Taibo II

Martes 28 de octubre 2025 a las 9:10
“El machismo es una enfermedad social que hay que combatir, y hay que establecer las reglas de oro del igualitarismo para resolver un problema ancestral que venimos cargando”, dijo el director de la edictorial.

Iguanas de cola espinosa llegaron hace 425 mil años a la isla Clarión

Martes 28 de octubre 2025 a las 9:05
Estudio sugiere que se dispersaron por el agua como “polizones en un tronco”.

Disminuye 61% en seis años la población de focas de puerto en la península de BC

Viernes 17 de octubre 2025 a las 8:14
El fenómeno está asociado al aumento de la temperatura superficial del mar, sostiene especialista.

“Con la experiencia desaparece la necesidad frenética de cantar todo”: Javier Camarena

Jueves 16 de octubre 2025 a las 8:12
Cuando el cantante de ópera llegó a la librería de La Jornada, sus ojos se posaron en los estantes, como un lector ávido que no puede esperar para hojear los ejemplares, pero se contuvo y comenzó una charla en la que reflexionó sobre su trayectoria de 20 años, la importancia de la salud mental y sus planes a futuro.

Laura Restrepo plantea un nuevo relato colectivo contra el genocidio y el ecocidio

Martes 14 de octubre 2025 a las 8:26
“Recuperemos el lenguaje del amor como columna vertebral de esa narrativa”, dijo en apertura de la Filmty.

Nobel de Química premia el desarrollo de sistemas moleculares que capturan CO2

Jueves 9 de octubre 2025 a las 8:11
Estas estructuras permiten obtener agua del aire desértico. Los galardonados: el japonés Susumu Kitagawa, el británico Richard Robson y el jordano Omar M. Yaghi

Honran los lazos culturales entre la Sultana del Norte y Colombia

Miércoles 8 de octubre 2025 a las 14:11
La cumbia y los cholombianos serán los protagonistas de la Feria Internacional del Libro Monterrey.

Nobel de Física, a avances de la mecánica cuántica

Miércoles 8 de octubre 2025 a las 8:13
El premio fue otorgado al británico John Clarke, al francés Michel H. Devoret y al estadunidense John M. Martinis.

Premio Nobel de Química 2025 al japonés Susumu Kitagawa, al británico Richard Robson y al jordano Omar M. Yaghi

Miércoles 8 de octubre 2025 a las 6:52
Los galardonados han utilizado la estructura molecular "metalorgánica" para captar agua del aire del desierto, extraer contaminantes del agua, capturar dióxido de carbono y almacenar hidrógeno.

El Nobel de Medicina, a investigadores de "células guardianas"

Martes 7 de octubre 2025 a las 7:29
Las llamadas T reguladoras mantienen equilibrado al sistema inmunitario para que defienda al organismo de infecciones sin destruir sus tejidos.

Premio Nobel de Física a 3 científicos de la mecánica cuántica

Martes 7 de octubre 2025 a las 6:36
La Real Academia Sueca de Ciencias otorgó el Premio Nobel de Física 2025 al británico John Clarke, el frances Michel H. Devoret, y al estadounidense John M. Martinis por sus experimentos con un clip que revelaron efectos cuánticos –la tunelización mecánica cuántica macroscópica y la cuantificación de la energía.

'Soy Frankelda', primer largometraje mexicano animado en 'stop motion'

Lunes 6 de octubre 2025 a las 7:22
"Creamos una hada mesoamericana porque estamos cansados de ver a europeas", señalan los directores Roy y Arturo Ambriz // Estreno en cines, el 23 de octubre

El Nobel de Medicina, a investigadores sobre el control del sistema inmunitario

Lunes 6 de octubre 2025 a las 7:05
El Premio Nobel de Medicina 2025 fue otorgado a los estadounidenses Mary E. Brunkow y Fred Ramsdell, así como al japonés Shimon Sakaguchi por sus hallazgos que explican cómo el sistema inmunitario logra defender al cuerpo de infecciones sin destruir sus propios tejidos.

Murió Jane Goodall a los 91

Jueves 2 de octubre 2025 a las 8:00
“No creo que Elon Musk vaya a poblar otro planeta, sólo tenemos éste y tenemos que cuidarlo”, aseveró a finales del mes pasado, cuando visitó el país, durante un encuentro con jóvenes.

Muere a los 91 años Jane Goodall, pionera en estudio de los chimpancés

Miércoles 1 de octubre 2025 a las 12:33
La británica "falleció debido a causas naturales".

“La divulgación científica es clave en la formación ciudadana”: Duhne Backhauss

Sábado 27 de septiembre 2025 a las 9:39
La escritora y guionista de programas de ciencia fue homenajeada en la décima Muestra de Imágenes Científicas realizado en la Escuela Nacional de Artes Cinematográficas de la UNAM.

Casa Lamm se reinventa: "queremos ser referente mundial de la cultura mexicana"

Lunes 22 de septiembre 2025 a las 7:24
El proceso incluye una plataforma digital y la renovación de la casona.

Buscan mantener proyectos de conservación del archivo de Elena Poniatowska

Domingo 21 de septiembre 2025 a las 21:35
Su hijo, Felipe Haro Poniatowska dijo que el mayor reto que tienen en este momento es conseguir los fondos para mantener el acervo, que tiene más de 550 horas de audio, 25 mil fotografías y manuscritos de sus obras.

Donar “es una forma de trascender y contribuir a la ciencia”: Luna Muñoz

Jueves 18 de septiembre 2025 a las 8:21
Es necesario que la sociedad se involucre en la investigación de enfermedades neurodegenerativas a través de la donación, dijo el director del Biobanco Nacional de Demencias (BND).

Descubren proteína clave que interactúa con otra asociada al Alzheimer

Jueves 18 de septiembre 2025 a las 8:18
El hallazgo podría detectar la enfermedad mucho antes de que aparezcan los problemas de memoria.

Biobanco Nacional de Demencias avanza en el estudio de métodos de diagnóstico no invasivos

Jueves 18 de septiembre 2025 a las 8:14
El BND forma parte de la Red Latinoamericana de Bancos de Cerebros (conformada por República Dominicana, Argentina, Colombia, Brasil y México) y tiene vínculos con asociaciones de Alzheimer.

Impulsan Museo del Cerebro para sensibilizar sobre enfermedades neurodegenerativas

Jueves 18 de septiembre 2025 a las 8:10
Tendrá módulos interactivos acerca del sistema nervioso, actividades lúdicas y materiales didácticos.

Festival de Cine Alemán ofrecerá "una vía para cuestionar, imaginar y dialogar"

Lunes 15 de septiembre 2025 a las 7:33
La inauguración en el Teatro de la Ciudad contará con la presentación en vivo de Los Shajatos e Ilse Salas.

"El conocimiento científico debe fluir, que la gente tenga acceso a él": Martha Duhne

Martes 9 de septiembre 2025 a las 7:59
La divulgadora será homenajeada en la décima edición de la Muestra Nacional de Imágenes Científicas.

Artistas y ciudadanos transforman vallas policiacas para exigir una Palestina libre

Lunes 8 de septiembre 2025 a las 7:11
En la Alameda Central, creadores lanzan un llamado al mundo para detener el genocidio en Gaza.

Catálago Arp sigue vigente para estudiar la evolución de galaxias con formas inusuales, afirma experta

Jueves 4 de septiembre 2025 a las 8:31
Permite analizar conjuntos de estrellas, gas y polvo que están interactuando entre sí y se hallan en proceso de transformación, señala Natalia Sofía Roa Gil.

Más de mil especies de árboles endémicos del país podrían desaparecer, alerta estudio

Martes 2 de septiembre 2025 a las 8:11
El estudio forma parte de la Evaluación Global de Árboles, cuyo objetivo es conocer el estado de conservación de todas las especies arbóreas del planeta.

Dueto de mujeres de San Bernardino, California gana tercera semifinal de 'México canta por la paz'

Domingo 31 de agosto 2025 a las 21:38
“Hubo un silencio en el foro, magia de dos mujeres que aman las dos culturas (la mexicana y estadunidense). Decidieron tocar en vivo, con una letra sencilla, y eso es algo que agradeces”, dijo Regina Orozco, integrante del jurado, al comentar su participación.

Fallece Arnoldo Kraus, voz ética y humana de la medicina mexicana

Domingo 31 de agosto 2025 a las 11:40
Kraus (1951-2025) fue colaborador de La Jornada y un especialista en bioética, duelo, relación médico-paciente, muerte y laicidad.

Polvo interestelar es esencial en el origen de estrellas, planetas y vida

Viernes 29 de agosto 2025 a las 9:00
Influye en el colapso de las nubes de gas y está involucrado en todos los procesos que suceden en el universo, señala Ary Rodríguez, investigador de la UNAM.

Plumas de pavo real pueden emitir rayo láser

Martes 26 de agosto 2025 a las 8:06
En un estudio publicado por 'Nature', investigadores destacan que al aplicarles un tinte especial son capaces de amplificar la luz.

El Chopo, 50 años del faro cultural para las complicidades creativas

Jueves 21 de agosto 2025 a las 17:40
La directora del recinto, Sol Henaro Palomino, resaltó que El Chopo se ha consolidado como un espacio donde confluyen diversas comunidades y generaciones para ver una exposición, asistir a un concierto, presenciar un programa de artes vivas, ver una película o tomar algún taller libre.

Desarrollan nadadores magnéticos que pueden revolucionar medicina e industria

Miércoles 20 de agosto 2025 a las 8:33
Francisco Godínez Rojano crea en la UNAM microrrobots capaces de moverse en los fluidos para disolver tumores y coágulos.

Proyecto de física de alumnos de Prepa 6 gana estancia en Suiza

Martes 19 de agosto 2025 a las 19:28
Elaboran detectores de centelleo con materiales de arraigo mexicano.

Pilar Calvo tiene nueva exposición individual tras ocho décadas

Miércoles 13 de agosto 2025 a las 8:29
La pintora mexicana, fue matriculada en 1930 en la Academia para Señoritas de Germán Gedovius, pintor de formación alemana y entonces profesor en la Academia de San Carlos.

En España, Graciela Iturbide resaltará su herencia mestiza

Martes 15 de julio 2025 a las 6:53
Graciela Iturbide se alista para recibir el Premio Princesa de Asturias. "De ese país tengo puras fotos de gitanos, pero eso retrato, a los pueblos; a ver qué les parece a los reyes", dice.

Creativos exigen regular uso de la inteligencia artificial

Lunes 14 de julio 2025 a las 7:03
Actores de doblaje, locutores, músicos, animadores, modelos y cineastas protestaron en el Monumento a la Revolución ante la posible pérdida de empleo para más de 20 mil personas.

"Ser músico es una gran profesión en la que siempre se aprende": Osmany Paredes

Sábado 28 de junio 2025 a las 9:30
El pianista y arreglista cubano se presenta hoy en el auditorio Blas Galindo.

Científico indaga cómo funciona el cerebro de los artistas

Miércoles 25 de junio 2025 a las 8:51
Por medio de 'Mentes geniales: Cómo funciona el cerebro de los artistas', Mario de la Piedra busca desmontar el mito del genio atormentado.

Revelan imágenes del Observatorio Vera C. Rubin millones de galaxias multicolores

Martes 24 de junio 2025 a las 8:33
Participan en este proyecto 50 investigadores mexicanos de la UNAM, la UdeG y el Cinvestav.

Con poesía visual, Daniel Alcalá entabla un diálogo epistolar con Mathias Goeritz

Martes 17 de junio 2025 a las 7:34
'Cartas a Werner Brunner' consta de 30 piezas elaboradas en materiales como papel, vinil, cemento sobre tela y oro.

Byron Brauchli: las técnicas fotográficas tradicionales dialogan con las actuales

Martes 10 de junio 2025 a las 8:21
Filtros de Instagram ofrecen efectos como la cianotipia, ejemplifica en entrevista.

Adaptan 'Bodas de sangre' a la realidad del noreste mexicano en una versión inmersiva

Miércoles 28 de mayo 2025 a las 8:30
El canto cardenche y los corridos tumbados musicalizan una de las obras más representativas de Lorca.

La artista Tina Girouard 'regresa' al Museo Tamayo después de 42 años

Jueves 22 de mayo 2025 a las 8:56
SIGN-IN reúne 256 piezas y ofrece una mirada íntima al hogar, el trabajo y los cuidados. Figura clave en la escena de Soho, fue la primera mujer en exponer en este recinto en 1983.

Las estructuras cerebrales se activan cuando se observa y evalúa una obra de arte

Jueves 22 de mayo 2025 a las 8:53
Esas experiencias afinan el pensamiento abstracto, necesario para tomar decisiones racionales: estudio

Homenaje a Carballido en su centenario natal

Miércoles 21 de mayo 2025 a las 8:23
Montajes en varios países, rediciones de sus textos menos conocidos y homenajes en Xalapa y la Ciudad de México forman parte de la conmemoración que comenzará mañana.

'Nativas de las calles', proyecto que vincula ciencia, arte y ciudadanía

Sábado 17 de mayo 2025 a las 8:44
La iniciativa busca visibilizar las plantas endémicas del Valle de México mediante carteles.

Estudio explora cómo las niñas y niños pasan del juego con palabras numéricas a saber contar

Martes 13 de mayo 2025 a las 8:48
Es a los 3 o 4 años de edad cuando entienden que esos vocablos sirven para establecer cuántas cosas hay.

La electrónica orgánica transformará la medicina y la computación: experto

Martes 6 de mayo 2025 a las 8:49
Esta rama emergente de la tecnología podría no sólo ir más allá de los límites actuales en el tamaño de los dispositivos, sino también integrarse al cuerpo humano.

Selma Ancira busca revelar al lector el mundo dramatúrgico de Mijaíl Bulgákov

Domingo 4 de mayo 2025 a las 9:34
Con la edición de 'La isla púrpura', la traductora quiere mostrar que no sólo fue un gran novelista.

Mujeres son fundamentales en el desarrollo de fármacos: Lena Ruiz

Miércoles 30 de abril 2025 a las 8:58
Históricamente no se les reconoce, pero desde tiempos ancestrales contribuyen con remedios.

Advierten sobre invasión de 200 especies acuáticas

Martes 29 de abril 2025 a las 9:18
Son un riesgo para la biodiversidad y las comunidades naturales: especialistas.

Cantar a la infancia,una forma de resistencia con ternura y alegría

Jueves 24 de abril 2025 a las 8:28
Pepe Frank celebra 45 años de hacer música para niños con un concierto especial en un centro cultural de Cuernavaca.

Tecnología con radiación vuelve antimicrobiano el material médico

Miércoles 23 de abril 2025 a las 8:31
La modificación de polímeros impide que equipos quirúrgicos diseminen infecciones, explica Guillermina Burillo, fundadora de laboratorio especializado del Instituto de Ciencias Nucleares.

Laboratorio de la UNAM crea videojuegos y sensores para la rehabilitación neurológica

Martes 22 de abril 2025 a las 9:54
El Laboratorio de Investigación y Desarrollo de Aplicaciones Interactivas para la Neuro-Rehabilitación (LANR) de la UNAM se ha consolidado como un referente nacional en el desarrollo de herramientas tecnológicas para la rehabilitación neurológica de quienes sufran una enfermedad vascular cerebral (EVC).

Trasladan al lenguaje operístico la carga emocional de ser migrante

Viernes 18 de abril 2025 a las 7:39
'I’m a Dreamer Who No Longer Dreams' se presentará por primera vez en México en mayo.

Firma mexicana de IA crea sistema antirrobo de transporte de carga

Viernes 18 de abril 2025 a las 7:07
Predice riesgos y previene asaltos con una efectividad de entre 70 y 80 por ciento.

Acervo mural de la SEP

Domingo 13 de abril 2025 a las 8:29
En el MVM destaca el esplendor del antiguo despacho del primer Secretario de Educación Pública.

En un país donde el arte es parte de la vida, el teatro infantil es importante: Carmen Luna

Sábado 12 de abril 2025 a las 9:50
La Trouppe celebra su aniversario 45 con presentaciones en recintos de la Ciudad de México. Hoy y mañana llevarán su espectáculo 'Fandango Trupetero' al Cenart.

"La gestión artística aporta mucho; sin embargo, ha recibido muy poco"

Miércoles 9 de abril 2025 a las 9:33
"Ahora México ya asume este campo como una política", considera.

China indagará un asteroide relacionado con el origen de los planetas

Martes 8 de abril 2025 a las 8:49
La misión Tianwen-2 recolectará muestras de cuerpo terroso Kamo‘alewa, que está cercano a la Tierra.

Una colección entre el adorno, el arte y el juego

Viernes 4 de abril 2025 a las 20:52
'La vuelta al mundo en 150 juguetes' exhibe piezas de cinco continentes.

Buscarán señales de habitabilidad en las nubes del planeta Venus

Viernes 28 de marzo 2025 a las 9:10
El Instituto de Tecnología de Massachusetts diseñó un programa de exploración que arranca este año.

Científica recomienda fortalecer el vínculo entre investigación e industria

Miércoles 26 de marzo 2025 a las 8:05
Alejandra López Suárez, experta en radiación con materia, del Instituto de Física de la UNAM, destaca el impacto directo en la tecnología que usamos todos los días.

Trabajadores del Inbal exigen mejores condiciones laborales

Lunes 24 de marzo 2025 a las 13:41
En el acceso principal del Palacio de Bellas Artes, los inconformes colocaron mantas y pendones dirigidas a las funcionarias públicas: Lucina Jiménez, directora general de Formación y Gestión Cultural y Alejandra de La Paz, directora general del instituto.

Hoy se celebra el Día Internacional de las Matemáticas con diversas actividades

Viernes 14 de marzo 2025 a las 9:09
Conferencias, talleres y eventos lúdicos para todas las edades.

Beneficios de IA son innegables, pero plantean desafíos éticos y sociales: Wulfrano Luna

Jueves 13 de marzo 2025 a las 8:35
Propone instaurar normas que equilibren su desarrollo y el respeto a los derechos humanos.

Los relojes nucleares garantizan una precisión sin precedente

Miércoles 5 de marzo 2025 a las 8:29
Podrían superar 10 veces en exactitud a los atómicos, refiere José Ignacio Jiménez, de la UNAM.

"México debe afianzar su sitio en la industria aeroespacial con formación de profesionales"

Sábado 1 de marzo 2025 a las 9:23
El rector de la UNAM, Leonardo Lomelí Vanegas, inauguró el Seminario Universitario del Espacio.

El proyecto Jardines de Colibríes busca que la especie sobreviva en entornos urbanos

Viernes 28 de febrero 2025 a las 8:28
"Son guardianes de la polinización y de la biodiversidad", sostuvo la ornitóloga María del Coro Arizmendi en entrevista.

"Al trabajar con barro emergen aprendizajes que se aplican a la vida"

Sábado 22 de febrero 2025 a las 9:20
En la obra de la argentina Florencia Rothschild destacan la relación con el espacio, el vínculo entre lo cotidiano y lo artístico, y la sustentabilidad.

Rendirán homenaje póstumo a Paquita la del Barrio en su pueblo natal

Martes 18 de febrero 2025 a las 20:11
Este miércoles los restos de la cantante serán llevados a Alto Lucero, Veracruz, donde se realizarán ceremonias de despedida.

Falleció la bailarina y actriz Tongolele

Martes 18 de febrero 2025 a las 8:14
Su destreza revolucionó la manera en que se percibía la danza en el espectáculo nacional.

Falleció la actriz 'Tongolele' a los 93 años

Lunes 17 de febrero 2025 a las 14:29
Su fallecimiento habría ocurrido debido un infarto fulminante.

Concentración de IA, posible riesgo para los derechos humanos y la seguridad: experta

Viernes 14 de febrero 2025 a las 9:30
Profundizaría la brecha tecnológica entre países, la manipulación del conocimiento y violentar la privacidad, advierte.

"La curiosidad nos lleva lejos, no se rindan", recomiendan niñas científicas mexicanas

Martes 11 de febrero 2025 a las 8:45
Clubes, concursos e indagaciones propias impulsan su desarrollo.

Festejarán el centenario natal de Carballido

Martes 4 de febrero 2025 a las 8:30
El centenario de Emilio Carballido se celebrará a lo largo del año con un programa que incluye teatro, literatura y cine, en México y el extranjero.

René Solís invita a reflexionar sobre el pasado, presente y futuro de la edición

Miércoles 22 de enero 2025 a las 9:00
En 'Entre libros y editores' también describe la relación que tuvo con grandes escritores del siglo XX

Deleita Fito Páez a sus seguidores en el Auditorio Nacional

Martes 21 de enero 2025 a las 23:52
El cantautor argentino ofreció el primero de sus conciertos en el recinto de Reforma tras su histórica presentación en el Zócalo capitalino el pasado fin de semana.

Fenómenos como las danas, quizá no tengan que ver con el cambio climático

Viernes 17 de enero 2025 a las 8:39
Eventos de ese tipo se repiten cada 50 años, señala el especialista Víctor Torres Puente.

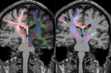
El gremio médico mexicano desaprovecha la resonancia magnética funcional: experto

Martes 14 de enero 2025 a las 8:38
Es una técnica más segura que la tomografía, asegura investigador de la UNAM.

Fernanda Brunet expone una muestra de su pintura "líquida, femenina y libre"

Domingo 12 de enero 2025 a las 9:15
Inauguró Una forma del deseo en la galería Ramón Alva de la Canal, en Xalapa.

Nuevas salas etnográficas en el Museo de Antropología

Martes 7 de enero 2025 a las 7:29
Se anunció la creación de la Coordinación Nacional de las Culturas Vivas, que integrará al INAH, el Inbal y el Fonart.

Encabeza Sheinbaum apertura del segundo piso de Antropología

Lunes 6 de enero 2025 a las 20:16
Cuenta con nuevas salas, entre ellas la etnográfica denominada Identidades, Historias y Visiones.

Expertos llaman a impulsar el control etológico de insectos

Lunes 6 de enero 2025 a las 8:01
Frente a esta opción ecológica, en AL domina el uso de pesticidas.

"El reto es conectar con el público y destacar en el ecosistema musical": Los McArthurs

Domingo 5 de enero 2025 a las 9:11
Su propuesta reside en la combinación de letras profundas con ritmos bailables.

Falleció José Ávila, director y fundador del grupo Los Folkloristas

Viernes 3 de enero 2025 a las 7:57
Defendió de la música como medio para mantener vivas las tradiciones y generar conciencia cultural.

Maravilla el Colibrí

Viernes 3 de enero 2025 a las 7:16
El telescopio identifica y da seguimiento a los eventos cósmicos que liberan más energía.

Desaparecerán bosques de oyamel por cambio climático

Martes 31 de diciembre 2024 a las 8:41
Con el fin de que la mariposa monarca siga contando con un hábitat para hibernar después de 2090, científico propone plantar árboles cerca del Nevado de Toluca.

Revista 'Maya de Geociencias' celebra su tercer aniversario

Lunes 30 de diciembre 2024 a las 8:10
En el foro entre académicos de Estados Unidos, México y América Latina han colaborado investigadores de 11 países.
Anuncio