°C -
|

La Jornada

Últimas noticias
Anuncio
Anuncio
TAG - estudio

Anuncio

Plumas de pavo real pueden emitir rayo láser

Martes 26 de agosto 2025 a las 8:06
En un estudio publicado por 'Nature', investigadores destacan que al aplicarles un tinte especial son capaces de amplificar la luz.

Entre primates, raros los machos alfa, no hay dominancia estricta entre sexos: estudio

Lunes 7 de julio 2025 a las 20:53
La investigación ofrece una visión mucho más matizada de las relaciones entre sexos opuestos en monos y lémures.

Industria de alimentos en México comercia productos con colorantes prohibidos en UE: estudio

Miércoles 26 de marzo 2025 a las 14:07
El 52% de los productos analizados en México contienen colorantes sintéticos, mientras que en Suiza y Gran Bretaña esos mismos productos, de las mismas corporaciones globales, no utilizan colorantes o usan alternativas naturales.

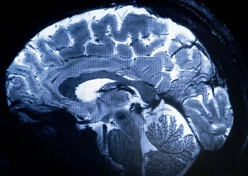
Estudio revela crecimiento constante del cerebro humano

Lunes 1 de julio 2024 a las 10:49
Los participantes en la investigación nacidos en la década de 1970 tenían un 6.6 por ciento más de volumen cerebral.

Protección legal al litio en México favorecerá a EU y Canadá: estudio

Domingo 26 de febrero 2023 a las 11:02
Su explotación tendrá alto impacto ecológico, señala.

Dejaron estudios 1.3 millones de kínder a prepa por el covid

Sábado 11 de febrero 2023 a las 9:18
La crisis de salud afectó tres ciclos escolares, reporta Mejoredu. De 2019 a 2022, la mayor deserción se registró en la enseñanza inicial.

Rusia sufre peor retroceso en la democracia, según estudio

Miércoles 1 de febrero 2023 a las 19:46
La nación gobernada por Vladimir Putin perdió 22 lugares respecto al listado anterior y se colocó en el lugar 146; México perdió tres sitios, ocupando la posición 89.

Renuevan estudio de Roy Lichtenstein en Nueva York a 100 años de su natalicio

Jueves 12 de enero 2023 a las 10:29
En la década de los 60 sus piezas llamaron la atención con temas antes indignos de las bellas artes.

Estudio apoya hipótesis de baja mundial en concentración de espermas

Martes 15 de noviembre 2022 a las 11:56
Entre las causas, "la obesidad, falta de actividad física, contaminación y exposición a productos químicos en medio ambiente", dicen especialistas.

Descubren intercomunicación acústica en especies que eran consideradas mudas

Jueves 27 de octubre 2022 a las 9:42
El hallazgo incluye 53 tipos de tortugas, así como el reptil tuátara.

Menonitas lideran deforestación fragmentada en Amazonía

Miércoles 19 de octubre 2022 a las 20:41
Desde 2017, MAAP estima que las áreas taladas cerca de los asentamientos de este grupo han alcanzado las 4 mil 800 hectáreas.

Empresas de personas LGBT+ crean en promedio 10 empleos directos: Estudio

Jueves 22 de septiembre 2022 a las 15:41
El documento titulado Emprender con Orgullo estima que personas de esta comunidad deciden emprender negocios orillados por la discriminación laboral.

Sostener y caminar cinco minutos calma al bebé en llanto: estudio

Martes 13 de septiembre 2022 a las 13:29
Según la investigación, la frecuencia cardíaca se desaceleró en 30 segundos cuando se transportó al menor, pero no cuando se mantuvieron inmóviles.

Actividad económica en abril avanzó 1.1 por ciento

Viernes 24 de junio 2022 a las 10:52
El comercio y los servicios impulsaron el comportamiento positivo del IGAE.

Guerra en Ucrania fortalece disrupciones a corto y mediano plazo

Domingo 12 de junio 2022 a las 21:45
La invasión rusa ha provocado, entre otros, una crisis humanitaria masiva, señala la firma McKinsey & Company.

Un estudio revela presencia de microplásticos en sangre humana

Viernes 25 de marzo 2022 a las 17:41
Por primera vez que se hallan PET en personas, aseguran los autores de la investigación holandesa.

Estudiantes de AL tienen mayor dominio textual que discursivo: estudio

Martes 22 de marzo 2022 a las 17:05
Además se detectó que en cuanto a desempeño en escritura, los niños que cursan primaria tienen un mayor dominio de la puntuación.

Cuarta dosis anticovid aportará “beneficios marginales”, según estudio

Miércoles 16 de marzo 2022 a las 17:31
Un estudio israelí explica que la vacunación ha alcanzado un “tope” inmunitario en personas jóvenes y sanas.

Sin sana distancia, este Día del Amor crecerá 76% la derrama económica

Domingo 13 de febrero 2022 a las 10:20
Según el Lacen de la UNAM, los consumidores llegaran gastados a la fecha, la cual caerá un día antes de quincena.

Huawei encabeza ranking de patentes 5G: Iplytics

Miércoles 15 de diciembre 2021 a las 19:53
El informe reveló que la tecnología de Huawei lidera el ranking de patentes activas 5G con una cuota total del 15.93%.

Convoca Conacyt a voluntarios para estudio fase 2 de vacuna Patria

Miércoles 15 de diciembre 2021 a las 13:47
El objetivo es evaluar su uso como refuerzo para personas previamente vacunadas. Tendrá duración de un año.

Investigadores de NL confirman efectividad de vacuna CanSino

Viernes 5 de noviembre 2021 a las 16:05
Un estudio realizado por el Hospital Universitario entre 5 mil profesores señala que el biológico tiene una inmunidad similar a las de otras farmacéuticas.

El antidepresivo fluvoxamina reduce hospitalizaciones por Covid-19: estudio

Miércoles 27 de octubre 2021 a las 21:58
Un grupo de investigadores de la Universidad McMaster, en Ontario, encabezados por el doctor Edward Mills, realizó una prueba en mil 500 pacientes brasileños.

Por la pandemia, público dedicó más tiempo a escuchar música: estudio

Jueves 21 de octubre 2021 a las 19:50
La IFPI señaló que los aficionados a la música recurrieron a sus artistas favoritos en busca de confort durante la pandemia de Covid-19.

Variante delta causa doble riesgo de hospitalización, dice estudio

Viernes 27 de agosto 2021 a las 21:06
Los científicos británicos encargados de la investigación analizaron 43 mil casos detectados en Inglaterra entre el 29 de marzo y el 23 de mayo.

Niega IPN "vínculo oficial" con estudio de socavón en Puebla

Viernes 9 de julio 2021 a las 14:47
El pasado 29 de mayo se empezó a abrir el socavón en el poblado Santa María Zacatepec, y con el paso de los días incrementó su tamaño.

Enfermos graves de Covid-19 mueren más en África que en otras zonas

Jueves 20 de mayo 2021 a las 22:07
Un estudio reveló que esto se debe a la falta de equipos de cuidados intensivos en la región.

Una dosis de vacuna anticovid reduce casi 50% transmisión en el hogar

Martes 27 de abril 2021 a las 21:28
Un estudio realizado por la agencia de salud pública inglesa reveló que los biológicos “reducen la transmisión de este virus mortal".

El Covid-19 aumenta riesgos en mujeres embarazadas: estudio

Viernes 23 de abril 2021 a las 15:11
Además, científicos británicos encontraron que el coronavirus en recién nacidos se asocia con un riesgo tres veces mayor de complicaciones médicas graves.

Ingresos de 91%  trabajadores informales cayeron por el Covid-19

Miércoles 14 de abril 2021 a las 16:44
Reporta la Organización Mujeres en Empleo Informal, Globalizando y Organizando

Neandertales podían oír tan bien como el 'homo sapiens', revela estudio

Lunes 1 de marzo 2021 a las 14:17
Se ha demostrado además que esta especie inhumaba a sus muertos, sabía ornamentar los cuerpos y fabricar instrumentos sofisticados.

La Tierra pasa por su periodo más silencioso en décadas por pandemia

Jueves 18 de febrero 2021 a las 18:43
Un estudio señala que el ruido ambiental urbano disminuyó hasta 50% debido al confinamiento.

El Covid-19 podría alterar la calidad del esperma

Jueves 28 de enero 2021 a las 19:13
Para el estudio, científicos alemanes analizaron durante dos meses el esperma de 84 hombres infectados con el coronavirus.

En México, 2 de cada 10 empresas de Latinoamérica: Visa

Jueves 5 de noviembre 2020 a las 16:38
Un estudio realizado por la procesadora de medios de pago, México tuvo 80% de crecimiento en las compañías más innovadoras.

Pacientes de Covid-19 infectan a la mitad de los miembros de su hogar

Viernes 30 de octubre 2020 a las 15:05
Un estudio realizado en EU revela además que los adultos parecen ser más contagiosos que los niños.

Microfinancieras, más cautelosas para otorgar crédito por pandemia: HR Ratings

Jueves 29 de octubre 2020 a las 16:21
Enfrentarán impactos de la pandemia en corto y mediano plazo.

Estudio alerta de la amenaza sobre especies raras y su papel ecológico

Viernes 9 de octubre 2020 a las 15:36
Científicos documentaron la existencia de más de 4 mil 600 especies de mamíferos terrestres y 9 mil 287 aves clasificadas como "ecológicamente raras" en un estudio publicado en ‘Nature Communications’.

Ineficaz, combinar lopinavir y ritonavir contra el Covid-19: estudio

Lunes 5 de octubre 2020 a las 21:56
Investigadores británicos publicaron los resultados detallados sobre este estudio en la revista médica ‘The Lancet’.

Se duplica gasto en agua embotellada en la CDMX durante pandemia: UAM

Lunes 20 de julio 2020 a las 17:19
Antes de la crisis los capitalinos destinaban en promedio 226 pesos al mes en la compra de garrafones de 20 litros, mientras que ahora, ese gasto se incrementó a 546.92 pesos en alcaldías como Iztapalapa.

Enfermos graves de Covid-19 pueden sufrir daño cerebral

Jueves 25 de junio 2020 a las 19:57
En un estudio realizado en Reino Unido se encontró que la complicación más común fue un accidente cerebrovascular, que se registró en 77 de 125 pacientes.

Actividad sexual constante retrasa menopausia temprana: estudio

Miércoles 15 de enero 2020 a las 10:40
Con los datos obtenidos de tres mil mujeres se demuestra que la llegada de la menopausia depende de la posibilidad de que una mujer se embarace.
Anuncio