°C -
|
Menú
Últimas noticias
Últimas Noticias
Secciones
Política
Economía
La Jornada Internacional
Mundo
Estados
Capital
Cultura
Sociedad
Columnas
Opinión
Deportes
Espectáculos
Ciencia
Autos
Blogs
Impresa
Edición
Cartones
Aranceles
Especiales
Suplementos
Semanal
Ojarasca
Ecológica
Del Campo
Letra S
Suplementos Especiales
Media
Podcasts
Galerías
Videos
Issuu
Promociones
Aplicaciones Móviles
Última hora
ipsum, dolor sit amet consectetur adipisicing elit. Vero ut aperiam sed, facere ipsa culpa id voluptatem.
Anuncio
Anuncio
TAG - escaner de resonancia magnetica
Anuncio
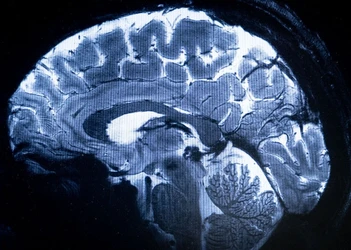
El IRM más potente del mundo muestra primeras imágenes del cerebro humano
Martes 2 de abril 2024 a las 10:25
El campo magnético creado por el escáner es de 11.7 teslas, lo cual permite que la máquina escanee imágenes 10 veces más precisas que los IRM comunes.
Anuncio